Emma Broadbent was born nine years ago in Dallas, Texas, with distinctive facial features. From birth, she suffered from muscle weakness and breathing problems, spending her first weeks in a neonatal intensive care unit.
Her doctors, unable to identify her condition, ordered exome sequencing: a genetic diagnostic test that has become increasingly common in recent years, including in Israel. The test focuses on the 1 percent of our DNA that encodes proteins, since that is where most known genetic disorders originate. But the results revealed nothing. Emma continued to experience delayed development and seizures.
With no other options, Emma’s parents enrolled her in the Undiagnosed Diseases Network, so that the remaining 99 percent of her DNA would be sequenced. Thanks to Emma’s inclusion in the network, researchers at the Broad Institute and affiliated hospitals in Boston, led by Dr. Vijay S. Ganesh, found that she was missing one copy of a gene that doesn’t code for a protein and that they had never encountered before.
A decade earlier, more than 10,000 kilometers from Dallas, Prof. Igor Ulitsky and his team at the Weizmann Institute of Science had started studying the very same gene. They later gave it a name: Chaserr. It is one of tens of thousands of genes that don’t encode proteins but contain a kind of “recipe” for making long RNA molecules called long noncoding RNAs, or lncRNAs, which play regulatory roles in gene expression.
In his doctoral research in Ulitsky’s lab, Dr. Aviv Rom discovered that Chaserr acts as a brake that controls the production of a protein called CHD2. Without Chaserr, it’s as if the foot is lifted off the brake: CHD2 production accelerates. In mice, this led to developmental delays.

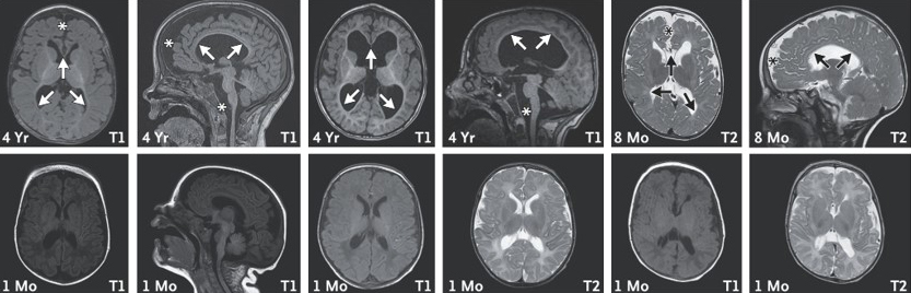
Magnetic resonance imaging (MRI) scans of the brain in three children with a missing copy of the Chaserr gene. The scans performed at age 8 months or 4 years (top row) reveal structural changes in the brain, including reduced volume of the brain stem (asterisks) and decreased myelin coating of nerves (arrows) in deep-seated brain areas. These changes are less apparent at 1 month of age (bottom row)
“Back then, it wasn’t yet common practice in our field to share findings before a study undergoes peer review and is published,” says Ulitsky. “But we uploaded our results to a knowledge-sharing platform, hoping to find other researchers who might find them relevant.” What he didn’t expect was an email from Boston about a critically ill patient missing a copy of the Chaserr gene.
Weizmann scientists, neurobiologists and geneticists from Boston, and other international colleagues ultimately published a joint scientific paper, which described the journey that led to the discovery of the first genetic disorder caused by the absence of a non-protein-coding gene. Among the authors of the paper, published in the New England Journal of Medicine, was Emma’s father Brian Broadbent, of the Coalition to Cure CHD2.
“Most genetic diagnoses still overlook lncRNAs,” says Ulitsky, a member of both the Immunology and Regenerative Biology and Molecular Neuroscience Departments at Weizmann. “Our study shows how essential it is to consider the thousands of noncoding genes while searching for the causes of unexplained diseases.”
After connecting with researchers in 2019, Emma’s father, Brian Broadbent, began holding monthly Zoom calls with scientists around the world. The researchers explained how difficult it was to study a genetic disorder based on a single patient. Then, in 2021, came a breakthrough: an email from a group of French scientists who had encountered another child missing one copy of the Chaserr gene. A year later, a third case appeared, also in France. At first, the cases seemed unrelated, until a fateful Zoom call brought everything together.
“The researchers and the families, including the children, were on the call, and we were helped by a French postdoc working in Boston who translated in real time,” Ulitsky recalls. “The moment the families saw one another, they recognized the similarities: not only in their children’s neurological symptoms, but even in their physical appearance.”
Lab tests showed that the children’s cells had elevated CHD2 levels, just as the Weizmann researchers had seen in the mouse models. MRI scans revealed that in the first years of the children's lives, there had been progressive damage to white matter in the brain, the tissue responsible for refining and coordinating signals between nerve cells.
Now, each family has a diagnosis: a syndrome of developmental delay and epilepsy caused by a missing copy of the Chaserr gene. And they have also gained a connection to other families dealing with the same rare disease. Ulitsky notes, however, that this is only the beginning: “A happy ending will come when a treatment is found. We hope that understanding the mechanisms of the disease will make it happen.”
The Goldilocks principle
Even before discovering this new disorder, researchers were aware that a deficiency in CHD2 protein was linked to autism and epilepsy. What they didn’t know was that too much CHD2 leads to an even more severe condition - one in which children are confined to wheelchairs, unable to speak and sometimes even unable to feed themselves.
The new disorder shows that CHD2 is governed by the Goldilocks principle: Like the fairytale heroine’s porridge, which needs to be at just the right temperature, the level of this protein must be just right - that is, within a defined range - to ensure normal development. Too little or too much can lead to dire consequences. And CHD2 is not alone; scientists are now identifying more and more vital proteins whose levels are regulated with similar precision. This precision poses a significant challenge: It’s difficult to develop therapies that can adjust protein levels so delicately.
“We still don’t have a treatment for the new disorder, but we are already developing a therapy for the opposite syndrome, the one caused by too little CHD2,” Ulitsky says. It works by partially blocking Chaserr.” The approach causes the RNAs transcribed from the Chaserr and CHD2 genes to fuse into a single molecule. In this fused state, Chaserr is less active, allowing more CHD2 to be produced.
Currently, most people with epilepsy are treated with anti-seizure medications, which address the symptoms rather than the underlying cause. Identifying the genetic roots of various epilepsy syndromes may lead to more targeted and effective treatments in the future.
Also participating in the study were: Dr. Kevin Riquin, Dr. Bertrand Isidor, Dr. Alisée Pengam, Dr. Stéphane Bezieau and Prof. Benjamin Cogné from Nantes University, France; Dr. Nicolas Chatron and Prof. Damien Sanlaville from Lyon 1 University, France; Dr. Kay-Marie Lamar, Miriam C. Aziz, Dr. Esther Yoon and Prof. Gemma L. Carvill from Northwestern University, Chicago, Illinois; Dr. Pauline Monin from Hospices Civils de Lyon, France; Melanie C. O’Leary, Dr. Julia K. Goodrich, Dr. Kiran V. Garimella, Dr. Eleina England, Ben Weisburd, Dr. François Aguet, Prof. Daniel G. MacArthur and Prof. Anne O’Donnell-Luria from the Broad Institute of MIT and Harvard, Cambridge, Massachusetts; Prof. Carlos A. Bacino, Prof. David R. Murdock, Prof. Hongzheng Dai, Prof. Jill A. Rosenfeld, Prof. Lisa T. Emrick and Prof. Shamika Ketkar from Baylor College of Medicine, Houston, Texas; Yael Sarusi from Weizmann’s Immunology and Regenerative Biology Department; and Dr. Saima Kayani from the University of Texas Southwestern Medical Center in Dallas, Texas.
